!-- Google Tag Manager (noscript) -->
Best Dental Clinic in India

Quick Inquiry

gummy-smile
dental-clinic-in-delhiGet A Quick Call Back
dental-clinic-in-gurgaon
dental-implants-in-india

Dr. Aman Ahuja

Dr.Aman Ahuja is one of the most distinguished and decorated dental surgeon in India.

Read More

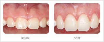
Gummy Smile

Because of your smile, you make life more beautiful.”

Are your friends telling you that you have a gummy smile? Or did you notice that more of your gum is visible when you smile.

You must be thinking, 

Why do i have gummy smile?

  • Gummy smiles occur for a variety of reasons, most commonly a short upper lip, excessive gum tissue or small teeth, all of which are genetic
  • When more gums than teeth show when you smile, it's usually due to excess gum tissue, as opposed to your teeth being abnormally small
  • The muscle that controls the movement of your upper lip could be hyperactive, causing your upper lip to rise up higher than normal. When this occurs, more of your The muscle that controls the movement of your upper lip could be hyperactive, causing your upper lip to rise up higher than normal. When this occurs, more of your gum tissue is exposed when you smile.

What is the treatment for  gummy smile ?

  • Crown lengthening – This procedure involves the removal and reshaping of excess gum, as well as bone tissue. It exposes more of your teeth so that they appear longer.



  • Surgical lip repositioning.
  • Orthodontics (braces) to move the teeth into more suitable positions.
  • Surgical Sculpting of the gingival tissues and bone to create healthier and more attractive looking gum contours.
  • Maxillofacial surgery to reposition the bone.



Our team will help you choose an optimal treatment required for your condition. We love to give you back your confidence to laugh out loud. 

Lets Get in Touch !

Don’t wait to treat your dental problems on another day! Instantly book an appointment with Cosmodent India to get the right help under the guidance of expert dental specialists today.

Book Appointment

Select Clinic Location & proceed to choose procedure or dental treatments, you are looking for.

dental-clinic-in-delhi

Delhi Clinic

dental-clinic-in-gurugram

Gurugram Clinic

dental-clinic-in-bangalore

Bangalore Clinic

Back Choose Procedures
  • Single Tooth Replacement 3-days
  • Multiple Tooth Replacement 5-days
  • All in 4 Implant
  • All in 6 Implant
  • Zygoma Implant
  • Basal Implant
  • BOI Implant
  • Bone Grafts
  • Root Canal Treatment
  • Misaligned and Crowded Tooth
  • Discoloured Teeth
  • Spaces Between Teeth
  • Worn Out Teeth
  • Gummy Smile
  • Digital Smile Design
  • Dental Crown & Bridge
  • Tooth Whitening / Bleaching
  • Paediatric Dentistry
Back Schedule Appointment
Upload Your RVG , OPG Reports
Back Book Now
close
The World's Highest Rated
Top Dental Clinic 347 +

Cosmodent India

Over 347 reviews